Digital X-Ray Technology
Why Do Orthodontists Need X-Rays?
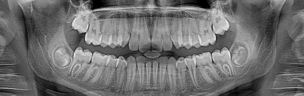
X-rays enable Dr. Sample to check the progress of your orthodontic treatment. In rare cases (only 2 percent), dental roots can shorten due to the pressure applied by braces, and the only way to make sure this isn’t happening is with x-rays. More commonly, a crowding problem might come up and treatment will need to be adjusted. Traditional x-rays expose patients to radiation, which is why you always wear a lead apron when the images are being taken. Thanks to advances in technology, there is now a safer way to take these images.
How Sample Orthodontics Reduces Radiation Exposure From Patient X-Rays
Film x-rays have been used in dentistry for decades. In the past few years, many forward-thinking orthodontists like Dr. Sample have invested in digital x-ray technology. Film x-rays cost a bit less than digital x-rays, but the increased exposure to film x-rays is more harmful to a patient’s overall health. Our digital x-ray emits as much as 85 percent less radiation than traditional x-ray technology.
Why Sample Orthodontics Invested In Digital X-Ray Technology
Digital x-rays are one of the most important new advances in our office. We are not only able to reduce your exposure to radiation; we reduce the amount of harmful chemicals and other waste materials associated with traditional x-ray technology. The reduction in waste was a big consideration when deciding to invest in digital technology. We pride ourselves in being environmentally responsible.
At your next orthodontic visit, please ask us any additional questions regarding our new digital x-ray technology or give us a call at 972-463-3242. Our first concern is your comfort and longterm overall health.


